白肺是什么?什么情形下需要拍 CT?有必要拍吗?
主页 > 医院介绍 > 医院动态 > 新闻动态近日,关于新冠感染后可能出现“白肺”的消息传得沸沸扬扬。
“12岁男孩咳嗽发热一周查出白肺”
“央视前主持人樊登父亲去世时,肺部已大面积变白”
“35岁设计师感染后连续加班进ICU,2天后变白肺”……
一时间,“白肺”成了大家面对新冠疫情新的焦虑点。“白肺”到底是什么?哪些人更容易得“白肺”?得了“白肺”就的“废”了吗?
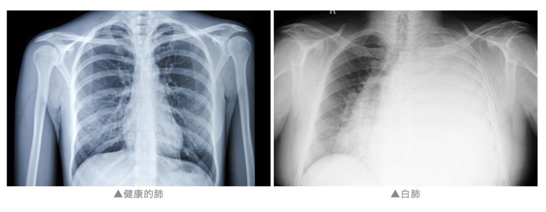
白肺一般是指重症肺炎患者在X线或CT检查下的表现,因一大片"白肺"而得名,医学上也称"急性肺损伤"。
为什么要称之为白肺呢?
一般来讲肺部炎症较重、渗出液较多,白色的影像区域面积达到70%—80%时,在临床上把它称为白肺。临床上,白肺表现为胸闷、气短、呼吸不畅,白肺患者血氧饱和度低,会导致严重缺氧,白肺的形成一般说明肺部有炎症浸润。

(图片来源于网络)
重症新冠引起的肺炎,多见于如下五类人群:
年龄65岁以上
免疫抑制状态 (比如长期使用激素等)
注意,免疫抑制并不是「免疫差」。免疫抑制状态,是指正常的免疫功能因为疾病或者药物受到了影响,如艾滋病、器官移植的患者等,长期服用免疫抑制剂、服用激素、以及患有类风湿疾病的人,都属于免疫抑制。
有重要器官慢性疾病史 (比如心脑肾肺等)
有心脏病的、有中风史的、有慢性肾脏病的、在透析的患者,还有肺气肿的患者,以及一些长期需要呼吸机帮忙呼吸的人群。
有多种并存疾病
有些患者虽然病情不如上面的重,但是有多种疾病,比如既有心脏病,又有肺病,然后肾脏还不好,也需要小心。
病情进展快的
如果感染之后,患者迅速出现了血氧饱和度下降,低于 94%,尤其发生在上面的这些高危人群身上,就更需要小心,说明损伤累积到了肺部,需要去医院密切监测。
如果属于以上高风险人群,以下几个指标可以帮助快速排查,有任何一条都代表要警惕起来,及时就医:
若新冠病毒感染者阳康后,还继续咳嗽,甚至有明显憋气,如果出现咳血(痰中带血)、夜间(或改变体位时)咳嗽加重,咳大量黄脓痰,或再次发热,气短、呼吸困难、胸痛等原有症状明显加重,以及咳嗽超过2周时,需照肺部CT来诊断是否有肺部感染;
高热不退,比如持续 5 天,还在 39℃ 以上;
呼吸急促,一分钟到 30 次(正常成人一分钟呼吸在 20 次以下);
体温恢复正常 1~2 天,突然又出现了 39℃ 以上的高热,伴有呼吸急促;
精神状态很差,一天不如一天,或不见好转;
血氧饱和度仪检测,血氧饱和度低于 93%(老年人血氧低于 95% 需多加观察)
新冠肺炎临床表现与大多的呼吸道感染核相似,在播散初期,核酸检测不够完善的情况下,CT甚至一度被专家认为新冠肺炎首选诊断方法。
胸部X线检查是观察的胸部重叠影像,往往对肺内密度相对高的炎性病变显示清晰,对大多病毒感染在影像学上表现的淡薄影(磨玻璃影)漏诊的可能性较大。而CT检查就像切西瓜一样,一层一层的检查,浅淡密度的病灶很容易发现,且不受骨骼、肌肉及心影的影响。国家对于发热门诊的配置里也明确规定CT为标准配置,而非X光机。

CT是立体影像,多层螺旋扫描,由计算机采集透过射线形成三维立体成像,能发现更多体内细小病变,更直观和准确。

而X光是平面影像,通过X光检查胸部异常,准确性和仔细度大不如CT,无法清晰的扫描。
(图片来源于网络)

为进一步提高医院医疗服务水平,满足更多患者就医诊断需求,和平妇产医院在软件升级和硬件引进方面加快步伐。在院领导大力支持下,我院引进德国西门子高端智能CT,该设备拥有扫描速度快、影像质量高、辐射小的优点。有助于临床精确诊断,帮助患者发现早期病变,对微小病变进行精准定位、定性诊断。为全身各系统常见病和疑难病提供了直观的影像学诊断依据。

同时,为方便大家“阳康”后对心肺功能的及时筛查,徐州和平妇产医院体检中心特推出“CT心肺健康筛查体检套餐”,为您的健康保驾护航!

(识别单图二维码即可购买)
此套餐请在2023年1月31日前到院核销,核销后于2023年6月30日前使用完毕;
此套餐仅限本人使用,不可转赠,不找零,不兑现;
此套餐使用需根据客服回访电话预约时间到院体检;
孕妇及哺乳期女性请遵医嘱购买使用;
请按预约时间至一楼导医台挂号,医生开具检查单并凭线上购买体检套餐核销码至收费处核销;
活动最终解释权归徐州和平妇产医院所有。
— END —
下一篇:两会现场声丨市人大代表、和平医疗集团执行院长周杰发表大会委员的“医疗之声”!














服务热线:
电子邮箱:
联系地址::